インプラントのトラブル対応
2025/10/24
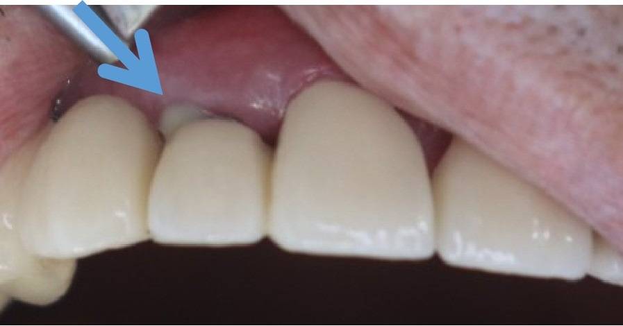
インプラントのトラブルで最も多いのが、インプラント周囲炎です。インプラント周囲の歯ぐきが腫れたり・膿が出たりする症状があります。インプラント周囲炎はインプラント喪失の最大の要因でもあり、早期に治療することでインプラントの予後(生存)を伸ばすことが期待できます。
インプラントの周囲炎に対する小手術
費用 | ¥44,000(税込) |
|---|---|
術名 | フラップ手術 |
副作用など | ・インプラント寿命の延伸効果が得られない場合がある ・審美的に不利益となる ・インプラント周囲炎が再発する/または、寛解しない |




