インプラント治療を受けられた方のお声
2025/08/01
「歯がガタガタで上手く噛めない」
「歯ぐきが腫れて痛い」
「見た目が気になって人前で自信がない」
ロケーターブリッジ(RB/LFB)治療があります。
フルアーチインプラントシステムのもう1つの選択肢です。歯がガタガタでどんな治療を受けたらいいのかわからない人はひとりではありません。
インプラント治療を受けられた方の体験談
インプラント治療:RBシステム
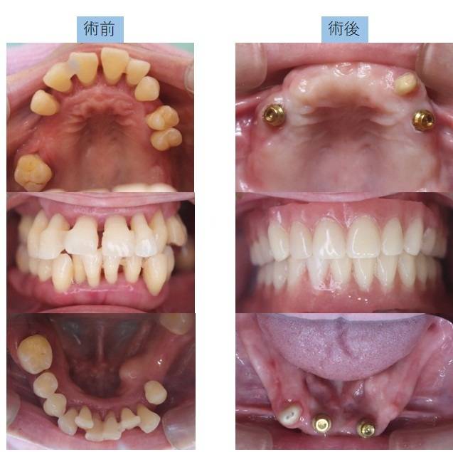
実際の症例
症例概要:重度歯周炎に悩まされ、年々歯がガタガタとなった。見た目も悪く、痛くて噛めない
費用について
初診料(検査費用を含む)、再診料、処置料(薬代等)、クリーニング施術費等は都度お支払い
インプラント手術費 | ¥880,000 | 備考:上・下顎 それぞれ2本ずつ |
|---|---|---|
ガイドデント保証加入費 | ¥132,000 | 備考:上・下顎 それぞれ2本ずつ |
リムーバブルブリッジ(レジンタイプ) | ¥352,000 | 備考:上・下顎 それぞれ1式ずつ |
ロケーターアバットメント | ¥352,000 | 備考:上・下顎 それぞれ2本ずつ |
リスク・デメリット・合併症
外科処置に起因するもの | インプラントに起因するもの | 上部構造体に起因するもの |
|---|---|---|
術後疼痛・腫脹 | インプラント周囲炎 | 破折・破損・紛失 |
術後感染症・治癒不全による治療期間の延伸 | インプラント不適合による脱離(ロスト) | 咬合不調 |
生体材料アレルギー | インプラント破折 | 違和感等による心身の不調 |
骨吸収による審美障害 | 審美障害 | |
神経または血管障害 | 上部構造体の弛み・易脱離性等によるストレス | |
清掃時は着脱式(取り外し方式) |
心因性に起因するもの | その他 |
|---|---|
抜歯に対する抵抗感 | 保険診療(保険請求)による療養の給付を受けられない |
審美回復に対する不満 | その他の保険による保証を受けられない |
想定治療効果との乖離 | さらなる歯科治療を必要とする状況が起こりうる |



